

多器官支持: 包括从头到脚趾的几乎所有器官
支持多模态医学图像,包括MRI、CT、US等
提供对设备的双向接口
你几乎可以无限制地使用3D Slicer,但是其不被允许在临床中进行使用,而只能用于研究工作中。

三维可视化

该图展示了如何使用3D Slicer加载DICOM图像,并进行三维可视化。

该图展示了从一个肿瘤患者得到的SPGR图像的皮质分割结果。
图像分割

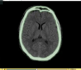
该图展示了如何使用3D Slicer来对CT和MR数据中的头骨条纹进行分割。

Slicer已经被大量用到了图像指导的医学研究工作中。利用Slicer进行MRI数据的构造和可视化非常方便。实际上,Slicer也可以被看做“图像指导的医学研究”领域的活化石,它的演变能够反应该领域的进展。基于广泛用于科学数据可视化的VTK工具进行构建的Slicer的核心模块采用C++进行编写,同时也提供了Python的API。而GUI则是基于流行的Qt框架进行设计。因此可以看到的是3D Slicer采用的技术紧跟时代潮流,相信未来也会如此。

如何使用PDF Arranger来对PDF文件进行编排和修改

文章转载自开源视界,如果涉嫌侵权,请发送邮件至:contact@modb.pro进行举报,并提供相关证据,一经查实,墨天轮将立刻删除相关内容。




