暂无图片
暂无图片
暂无图片
暂无图片
暂无图片

研究简报 | 如果天生没有左侧颞叶,人的言语功能会怎么样?

鹿鸣Cogn 2021-05-30
2290


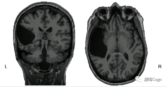
前天(5月28日),MIT的神经科学家Ev Fedorenko在BioRxiv上登了一篇非常有意思的个案研究。2016年,一名先天没有左侧颞叶(left temporal lobe,言语功能相关的重要脑区,如下图)的女士EG(化名)参与了她的研究。EG女士从小一直正常生活,直到25岁才得知自己先天缺少颞叶,也就是说颞叶的缺失对她而言并没有影响到生活。

EG女士的大脑:先天左侧颞叶缺失

和大多数先天脑损伤的患者一样,EG的言语功能和其他认知功能并没有受损。也就是说,由于大脑的可塑性,EG原本左侧颞叶的功能在其他脑区中得到了代偿。具体而言,普通人的言语优势半球(dominant  hemisphere, DH)是左半球(LH),而EG的言语优势半球是右半球(RH),她的右半球有着完好的语言网络

由于EG颞叶的先天缺失,研究者在这里想讨论两个重要问题。第一个问题:额叶言语区的发展是否要以颞叶言语区的出现为基础?由于额叶的发展晚于颞叶的发展,所以这两个区域的言语功能发生具有两种可能性(如下图所示),其一是额叶言语区的发展以颞叶言语区发展为前提,其二是两者言语区发展是相互独立的。

(a)上图表示额叶(红)和颞叶(蓝)的语言区是独立发育的,发育之后,额颞之间通路的加强。(a)下图表示额叶语言区的发育是以颞叶语言区为基础的。(b)表示EG的大脑,也就是假设在缺少了左侧颞叶的情况下,额叶语言区能否独立发育。


对于这一问题,fMRI研究结果表明,当同侧颞叶言语区缺失的时候,额叶的语言区对言语刺激是没有脑活动的。如下图所示,研究者在2016年和2019年两次对EG(Session 1和Session 2)和对照组(CG1/CG2, n=93/n=52)进行实验(利用sentences>nonords contrast),都得到了一样的结果。也就是说,EG的言语优势半球(右半球)可以对言语刺激反应,但左侧前额叶并不对言语刺激敏感。这一结果表明,颞叶言语区是额叶言语区发展的前提条件。相比之下,正常对照组的个体左右半球的语言区域都会表现出对言语的反应。

上图是EG在两个Session的言语任务中的脑活动,下图是对照组被试(CG1和CG2)在两个Session言语任务中的脑活动

接着,研究者的第二个问题是:如果EG的左半球额叶没有发育出言语功能,那左侧额叶的其他认知功能会正常吗?研究结果表明(如下图),在进行算术任务(高低难度contrast)时,EG的左侧额叶依然具有良好的激活模式,与对照组的类似,也就是说,左侧颞叶的缺失没有影响其左侧额叶一般认知能力的发展

上图是EG在两个Session的算术任务中的脑活动,下图是对照组被试(CG1和CG2在两个Session的算术任务中的脑活动

因此,除了上述两个关键结果,本文也得到关于语言功能的一些启示:①单个半球就足够发育出功能完好的语言系统;②左半球和右半球对言语功能的作用可能是等价的。对于个案EG的研究仍在继续,未来也将有更多有趣的研究结果,这些结果对于理解语言的脑功能、脑可塑性、脑功能组织都有重要的启示。

注:以往的文献分享大多是全文形式,读者阅读不易,写者翻译更难。于是本次尝试以短平快的简报的形式分享近期论文的重要结果,这样似乎更加友好,有兴趣的小伙伴可以直接戳左下角原文链接,对全文进行进一步的研究,也可以在此留言建议。

留言板


文章转载自鹿鸣Cogn,如果涉嫌侵权,请发送邮件至:contact@modb.pro进行举报,并提供相关证据,一经查实,墨天轮将立刻删除相关内容。

评论